Szczęśliwa pacjentka pozująca z zespołem lekarzy po zakończonym leczeniu implantologicznym w SmileClinic
Strona głównaPoradyAll-on-4 i All-on-6 – prawdziwe historie naszych pacjentów: Pani Beata

All-on-4 i All-on-6 – prawdziwe historie naszych pacjentów: Pani Beata

Nowoczesna implantologia w SmileClinic: historia Pani Beaty i jej nowego uśmiechu

Każdy uśmiech ma swoją historię – nie tylko tę pełną radości, ale też momenty wyzwań, które muszą zostać pokonane, by odzyskać pewność siebie. Pani Beata, 53-letnia pacjentka SmileClinic, przez wiele lat zmagała się z problemami z uzębieniem – rozległe braki zębowe, paradontoza i ruchome protezy częściowe stały się codziennością, którą trudno było zaakceptować. To nie tylko kwestia estetyki, ale i komfortu życia. Na szczęście nowoczesna implantologia dała jej szansę na nowy początek.

Leczenie metodą All-on-6, przeprowadzone w trybie obu szczękowym, zrewolucjonizowało życie Pani Beaty. Od zabiegu, który trwał zaledwie jeden dzień, po pełną odbudowę uśmiechu – ta historia to przykład tego, jak skuteczna i zaawansowana medycyna może przywrócić nie tylko zdrowie jamy ustnej, ale także poczucie wartości. Czytaj dalej, aby poznać szczegóły tej niezwykłej przemiany.

Czym jest metoda All-on-4 / All-on-6?

To nowoczesna koncepcja leczenia, która pozwala na odbudowę całego łuku zębowego w szczęce lub żuchwie przy użyciu zaledwie czterech strategicznie rozmieszczonych implantów. W niektórych przypadkach, dla zapewnienia jeszcze większej stabilności i lepszego rozłożenia sił żucia, stosuje się rozszerzoną wersję procedury z sześcioma implantami (All-on-6). Kluczowym elementem tej metody jest specjalne, angulacyjne (pochylone) ustawienie implantów, które pozwala na ominięcie newralgicznych struktur anatomicznych i wykorzystanie istniejącej tkanki kostnej w optymalny sposób. Dzięki temu możliwe jest wykonanie stałego, przykręcanego mostu i uzyskanie pięknego uśmiechu w ciągu jednego dnia, nawet u pacjentów ze znacznym zanikiem kości.

Porównanie metod All-on-4 i All-on-6 – wizualizacja leczenia implantologicznego

Historia leczenia All-on-6 u Pani Beaty – od ruchomych protez do stałego uśmiechu

Pani Beata, 53-letnia pacjentka SmileClinic, przez ponad 20 lat zmagała się z konsekwencjami utraty zębów. Postępująca paradontoza, rozległe braki zębowe oraz konieczność korzystania z ruchomych protez częściowych znacząco obniżały jakość jej życia. Dyskomfort podczas jedzenia, problemy z wymową i brak pewności siebie w kontaktach społecznych stały się codziennością, którą trudno było zaakceptować.

Po latach poszukiwania rozwiązania, które przywróciłoby jej nie tylko piękny uśmiech, ale przede wszystkim komfort i swobodę, Pani Beata zdecydowała się na kompleksowe leczenie implantologiczne metodą All-on-6 w obu łukach zębowych.

Leczenie zostało zaplanowane w trybie obu szczękowym, co oznaczało, że zabieg w szczęce oraz żuchwie został przeprowadzony w jednym dniu. Cały proces leczenia został podzielony na trzy etapy, które zapewniły Pani Beacie nowe zęby i poprawę jakości życia.

Etap 1 – planowanie cyfrowe i zebranie informacji

Fundamentem każdego skutecznego leczenia implantologicznego jest precyzyjna diagnostyka i indywidualnie zaprojektowany plan. W przypadku Pani Beaty leczenie rozpoczęło się od zaawansowanego planowania cyfrowego. Za pomocą nowoczesnych narzędzi do cyfrowego projektowania (tomografia komputerowa, skanowanie wewnątrzustne 3D, planowanie zabiegu i komputerowa symulacja zabiegu z wykorzystaniem nawigacji komputerowej), zebrano wszystkie niezbędne informacje dotyczące anatomicznych uwarunkowań Pani Beaty. Dzięki temu możliwe było precyzyjne zaplanowanie miejsca wszczepienia implantów oraz ustalenie odpowiedniej ilości implantów w obu łukach.

Podczas tego etapu Pani Beta przeszła również dokładne badania diagnostyczne, które pozwoliły na dokładną ocenę stanu zdrowia jamy ustnej, a także na wykluczenie wszelkich przeciwwskazań do zabiegu. Zebrane dane pozwoliły na stworzenie indywidualnego planu leczenia, który był bezpieczny, skuteczny i dostosowany do potrzeb pacjentki.

Porównanie cyfrowej rekonstrukcji 3D szczęki przed leczeniem implantologicznym i po zaplanowaniu pozycji implantów
Wizualizacja cyfrowego planowania implantów zębowych w technice All-on-6 z oznaczeniem kości i pozycji implantów

Etap 2 – Zabieg chirurgiczny i protetyka tymczasowa – natychmiastowe obciążenie implantów i pierwsza metamorfoza

Po dokładnym zaplanowaniu nadszedł dzień zabiegu, który w przypadku Pani Beaty objął zarówno szczękę, jak i żuchwę i został przeprowadzony w całości podczas jednej wizyty. Procedura polegała na usunięciu pozostałych zębów, a następnie, z wykorzystaniem przygotowanego szablonu nawigacyjnego, na precyzyjnym wprowadzeniu łącznie 12 implantów (po 6 w szczęce i żuchwie).

Kluczowym momentem było natychmiastowe obciążenie implantów. Oznacza to, że jeszcze tego samego dnia do wszczepów zostały przykręcone przygotowane wcześniej, w pełni funkcjonalne i estetyczne mosty tymczasowe. Dzięki temu Pani Beata opuściła klinikę z nowym, pięknym uśmiechem, mogąc od razu normalnie funkcjonować, jeść i mówić. To właśnie ta możliwość natychmiastowej metamorfozy jest jedną z największych zalet tej metody.

Porównanie uśmiechu pacjentki przed leczeniem implantologicznym i tydzień po zabiegu

Zabieg przeprowadzono z wykorzystaniem nawigacji komputerowej, co pozwoliło na bardzo precyzyjne umiejscowienie implantów, minimalizując ryzyko powikłań i przyspieszając proces gojenia. Po wszczepieniu implantów natychmiastowo nałożono mosty tymczasowe, które zostały przykręcone do implantów. Mosty te pełniły funkcję estetyczną i funkcjonalną, umożliwiając Pani Beacie normalne funkcjonowanie od razu po zabiegu. Dzięki zastosowaniu protetyki tymczasowej pacjentka mogła cieszyć się pełnym uśmiechem, mimo że implanty nie były jeszcze w pełni zintegrowane z kością.

Etap 3 – Finalne mosty cyrkonowe – po 3 miesiącach gojenia

Okres około sześciu miesięcy po zabiegu to czas na osteointegrację, czyli proces trwałego zrastania się powierzchni implantów z tkanką kostną. W tym czasie Pani Beata regularnie odwiedzała klinikę na wizyty kontrolne, podczas których monitorowano prawidłowy przebieg gojenia. Dzięki ścisłemu przestrzeganiu zaleceń proces ten przebiegł pomyślnie, a implanty zostały w pełni zintegrowane z kością.

Po zakończeniu osteointegracji nadszedł czas na finalny etap – wymianę mostów tymczasowych na docelowe. Dla Pani Beaty w naszym laboratorium SmileClinic LAB wykonano pełnoceramiczne mosty cyrkonowe. Cyrkon to materiał biozgodny, niezwykle wytrzymały i charakteryzujący się estetyką idealnie naśladującą naturalne zęby. Mosty te są w pełni pozbawione metalu, co gwarantuje doskonały, naturalny wygląd, bez ryzyka przebarwień czy sinych obwódek przy dziąsłach. Ostateczny efekt to trwały, piękny i w pełni funkcjonalny uśmiech na lata.

Zbliżenie uśmiechu pacjentki przed leczeniem implantologicznym i po jego zakończeniu
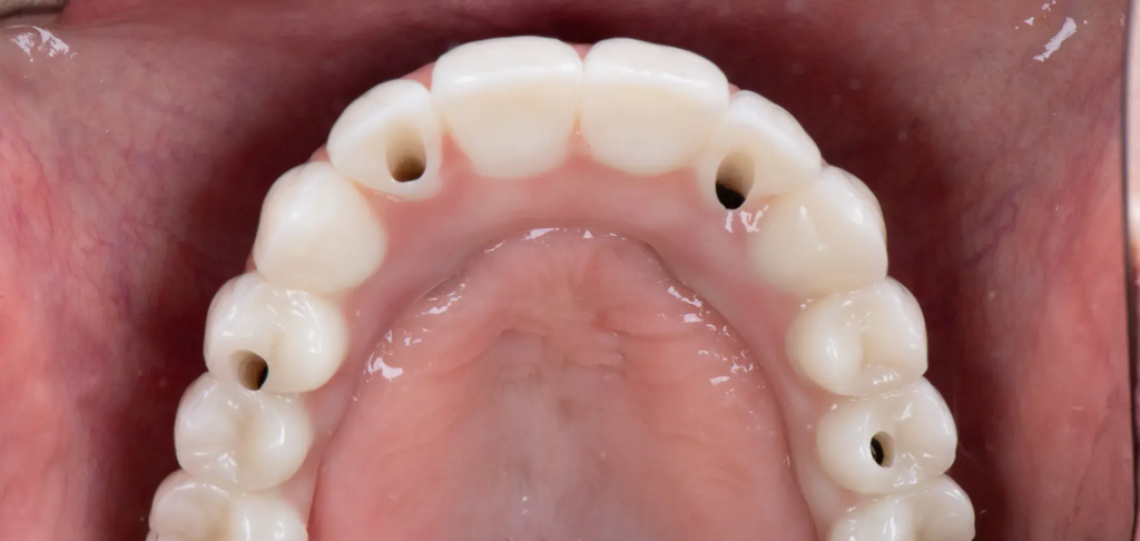
Zbliżenie na mosty licowane porcelaną mocowane na implantach zębowych
Porównanie zdjęć RTG pacjentki przed leczeniem implantologicznym i po zakończeniu terapii All-on-6
Widok mostów cyrkonowych licowanych porcelaną zamocowanych w jamie ustnej pacjenta

„Historia Pani Beaty doskonale pokazuje, jak nowoczesna implantologia może kompleksowo rozwiązać wieloletnie problemy pacjentów. Dzięki precyzyjnemu planowaniu cyfrowemu i jednodniowej procedurze chirurgicznej pacjentka nie tylko odzyskała piękny uśmiech, ale przede wszystkim komfort i pewność siebie, o których marzyła od lat. Obserwowanie takiej przemiany to dla nas największa satysfakcja” – komentuje dr Krzysztof Chmielewski.

All-on-6 a ruchoma proteza – dlaczego warto wybrać stałe rozwiązanie?

Cecha Ruchoma proteza Most na implantach (All-on-6)
Stabilność Często się przesuwa, wypada, wymaga użycia kleju. Jest na stałe przykręcony do implantów, w 100% stabilny.
Siła żucia Znacznie ograniczona (ok. 20-30% siły naturalnych zębów). Przywrócona w ponad 95%, pozwala jeść wszystko.
Komfort Może powodować otarcia, podrażnienia, zakrywa podniebienie. Nie zakrywa podniebienia, nie powoduje dyskomfortu.
Wpływ na kość Powoduje stopniowy zanik kości pod płytą protezy. Implanty stymulują kość, zapobiegając jej zanikowi.
Estetyka Często nienaturalny wygląd, widoczne klamry. Perfekcyjne odwzorowanie naturalnych zębów i dziąseł.
Pewność siebie Obawa przed wypadnięciem protezy w sytuacjach społecznych. Pełna swoboda i pewność siebie podczas rozmowy i uśmiechu.

Podsumowanie

Historia Pani Beaty to dowód na to, że nigdy nie jest za późno, aby zawalczyć o zdrowy i piękny uśmiech. Leczenie metodą All-on-6 pozwoliło na całkowitą eliminację problemów związanych z brakami zębowymi i niewygodną protezą. Dzięki połączeniu zaawansowanej technologii cyfrowej, precyzyjnego zabiegu chirurgicznego i mistrzostwa techniki dentystycznej, pacjentka odzyskała nie tylko pełną funkcję żucia, ale także radość życia i pewność siebie.

Te artykuły mogą Cię zainteresować

Szukasz sprawdzonych informacji o leczeniu stomatologicznym, estetyce uśmiechu lub nowoczesnych metodach leczenia? Sprawdź pozostałe artykuły i dowiedz się, co warto wiedzieć przed wizytą u dentysty. Wszystko zebrane w jednym miejscu – rzetelnie, konkretnie i przystępnie.

Poznaj nasze usługi implantologiczne

Odkryj szeroką ofertę zabiegów i usług, które realizujemy z zaangażowaniem, by sprostać Twoim oczekiwaniom

Eksperci w dziedzinie implantologii

Jeżeli poszukujesz specjalisty od uzupełniania braków zębowych, umów się na wizytę z jednym z naszych lekarzy implantologów.